Invisalign Comprehensive Conditions – Anterior crossbite – Class III – Crowding – Mandibular midline deviation – Rotations
Invisalign Comprehensive
- Invisalign Submission Option: Invisalign Comprehensive
- Difficulty Level: Intermediate
- Gender: Female
Clinical Indications
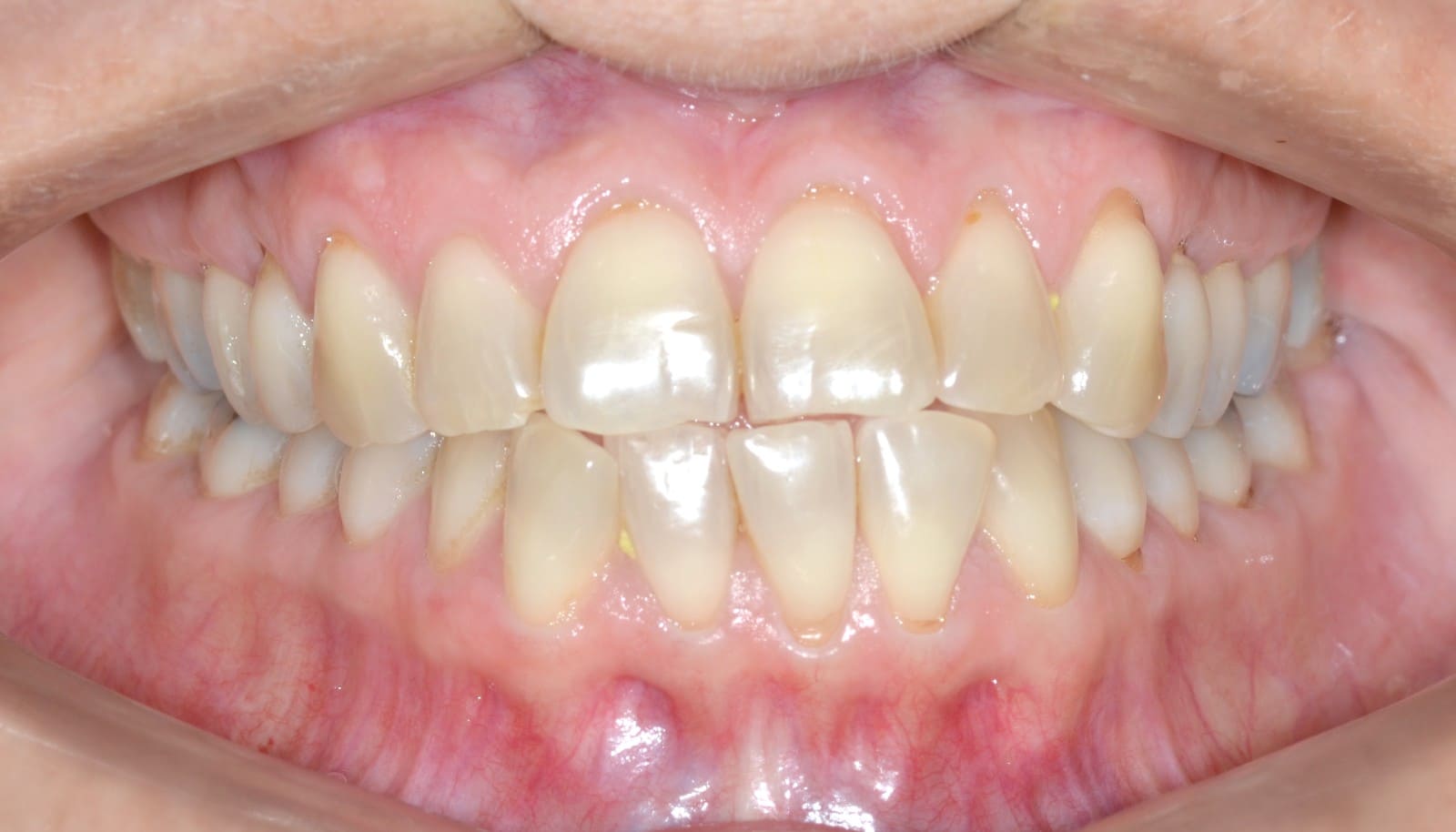
- Anterior crossbite
- Class III
- Crowding
- Mandibular midline deviation
- Rotations
Modalities
- Elastics: Class III
- Intrusion
- IPR
- Retraction
Treatment Information
- Smartforce: Optimized deep bite attachments for anchorage (G5)
- Submission Process: Intra-oral scan
- Length of Treatment: months
- Aligner Wear Time: 10 days
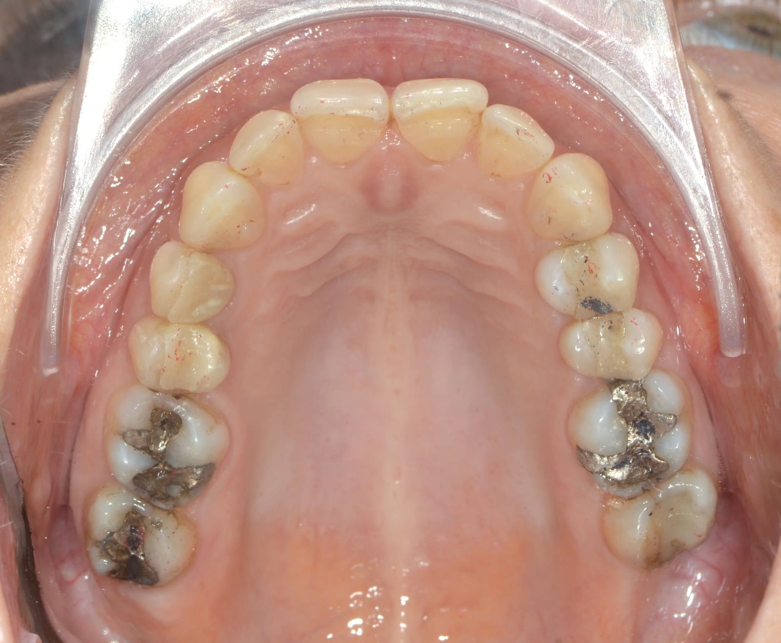
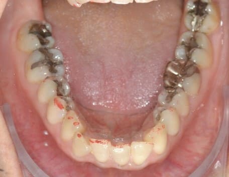
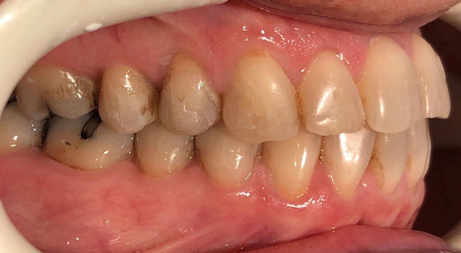
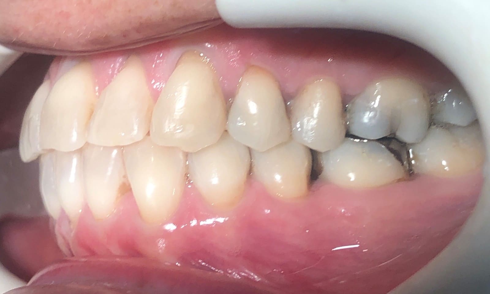
Images


Initial
Final


Initial
Final


Initial
Final


Initial
Final


Initial
Final
ClinCheck
Anterior
Right left
Upper Lower
Summary
Results achieved
- Class I relationship achieved
- Functional canine guidance on both sides
- Anterior crossbite corrected
- Normal overjet and overbite achieved
- Midlines coincident
- Proper axial inclination of incisors
- Curve of Spee leveled
- Arches aligned and coordinated
- Arch form improved
- Aesthetic smile line was achieved
- All treatment goals were achieved case


