Invisalign Teen Conditions: – Class II div 1 – Maxillary midline deviation – Narrow arches – Open bite
Invisalign Teen Conditions: – Class II div 1 – Maxillary midline deviation – Narrow arches – Open bite
Invisalign Comprehensive Conditions – Anterior crossbite – Class III – Crowding – Mandibular midline deviation – Rotations
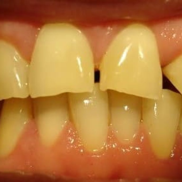
Invisalign Teen Conditions – Class II div 1 – Deep bite – Increased overjet – Narrow arches
Invisalign Full Conditions – Mandibular midline deviation – Open bite – Pre-restorative – Rotations
Invisalign Comprehensive Conditions – Class I – Deep bite – Maxillary midline deviation – Narrow arches
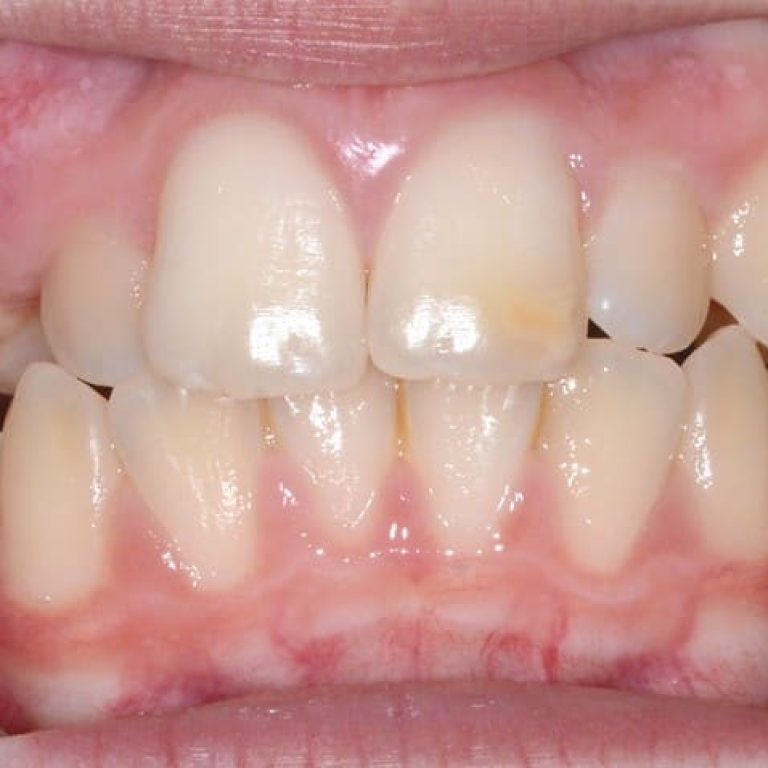
Invisalign Teen Conditions – Class II div 1 – Crowding – Impacted canines – Maxillary midline deviation – …
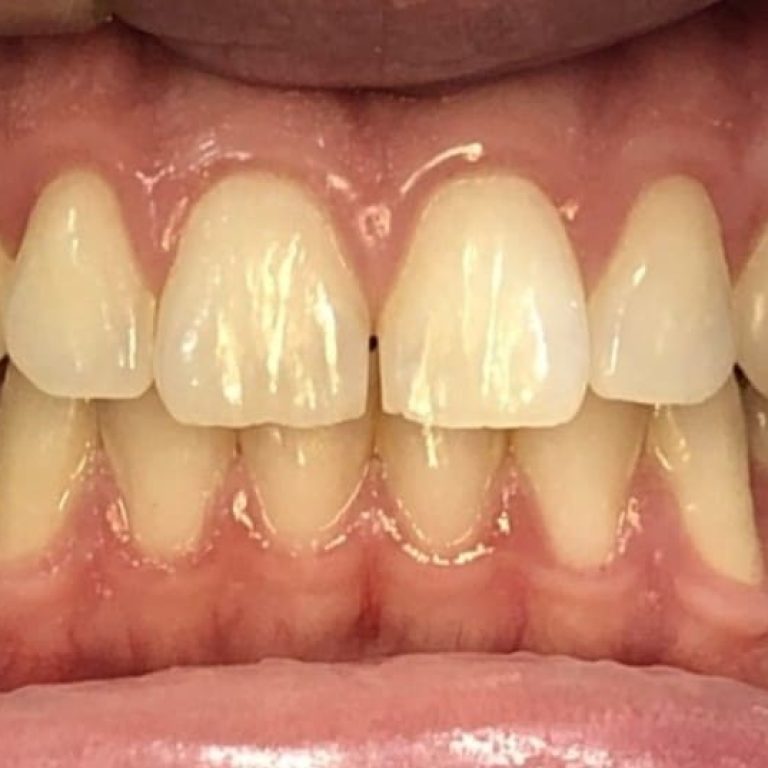
Invisalign Comprehensive Conditions – Class II div 1 – Deep bite – Impacted canines – Mandibular midline deviation