Invisalign Teen Conditions: – Class II div 1 – Maxillary midline deviation – Narrow arches – Open bite
Invisalign Teen
- Invisalign Submission Option: Invisalign Teen
- Difficulty Level: Initiator
- Gender: Female
Clinical Indications
- Class II div 1
- Maxillary midline deviation
- Narrow arches
- Open bite
Modalities
- Distalization
- Elastics: Class II
- Expansion
- Retraction
Treatment Information
- Smartforce: Optimized expansion support attachment (Phase1)
- Submission Process: Intra-oral scan
- Length of Treatment: 11 months
- Additional Aligners: 1
- Aligner Wear Time: 1 week
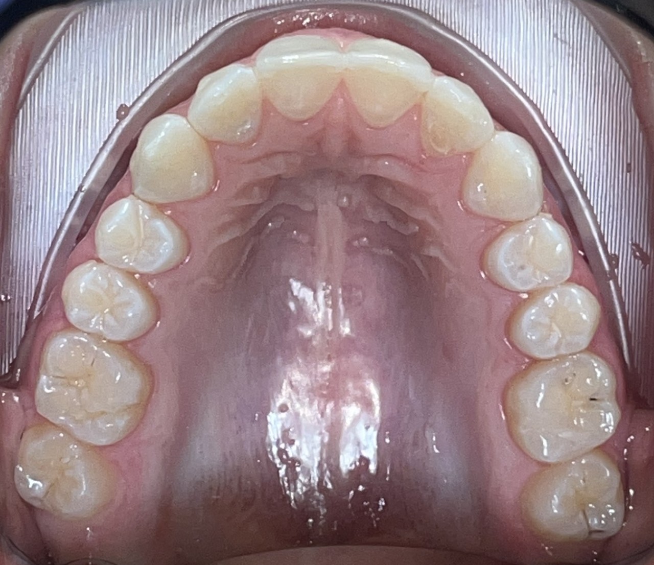
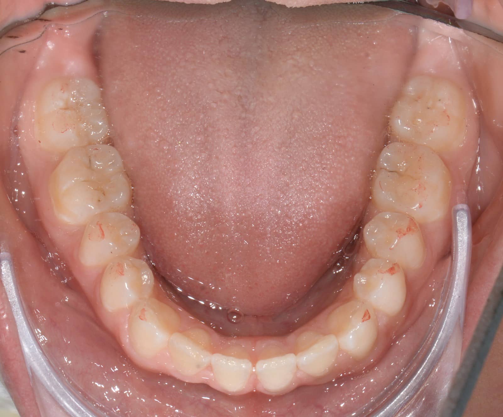
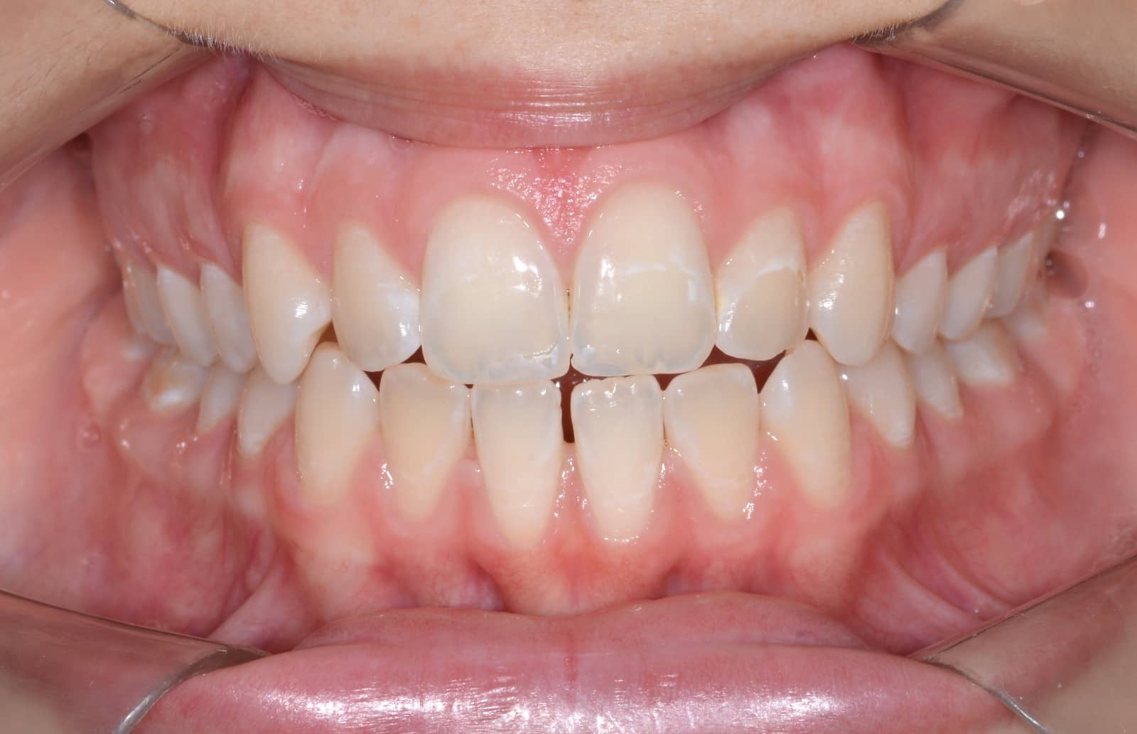
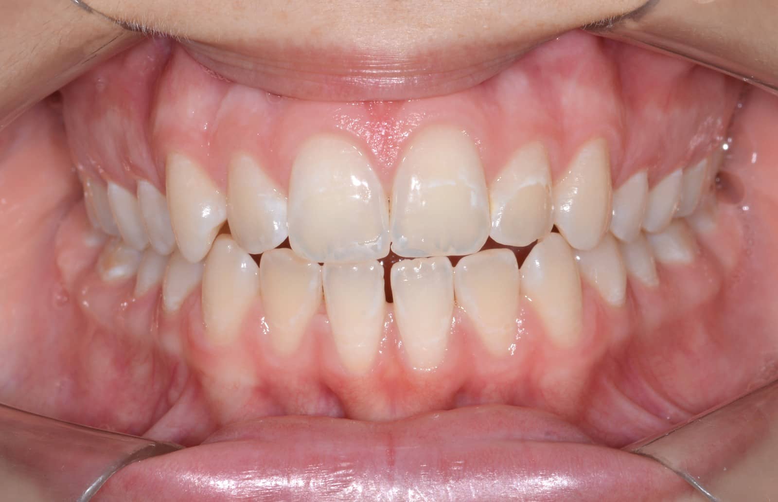
Images


Initial
Final


Initial
Final


Initial
Final


Initial
Final


Initial
Final
ClinCheck
Anterior
Right left
Upper Lower
Summary
Results achieved
- Class I relationship achieved
- Functional canine guidance on both sides
- Normal overjet and overbite achieved
- Midlines coincident
- Proper axial inclination of incisors
- Curve of Spee leveled
- Arches aligned and coordinated
- Arch form improved
- All treatment goals were achieved case
Comments
- Class I canine and molar: sequential distalization in upper right side.
- In the upper left side, class I canine was achieved closing the diastema between canine and first premolar, and class I molar with distalization and correcting the rotation of first molar.
- Elastic class II were used from upper canines to lower second molars, 12 hours per day.
- Normal overjet and overbite were achieved by retraction and extrusion of upper anterior teeth.
- No additional aligners were prescribed.


