Invisalign Comprehensive Conditions – Class I – Deep bite – Maxillary midline deviation – Narrow arches
Invisalign Comprehensive
- Difficulty Level: Initiator
- Gender: Male
- Year: 2012
Clinical Indications
- Class I
- Deep bite
- Maxillary midline deviation
- Narrow arches
Modalities
- Expansion
- Extrusion
- Intrusion
- Leveling Curve of Spee
- Retraction
Treatment Information
- Smartforce: Conventional bite ramp
- Submission Process: Intra-oral scan
- Length of Treatment: 8 months
- Aligner Wear Time: 10 days
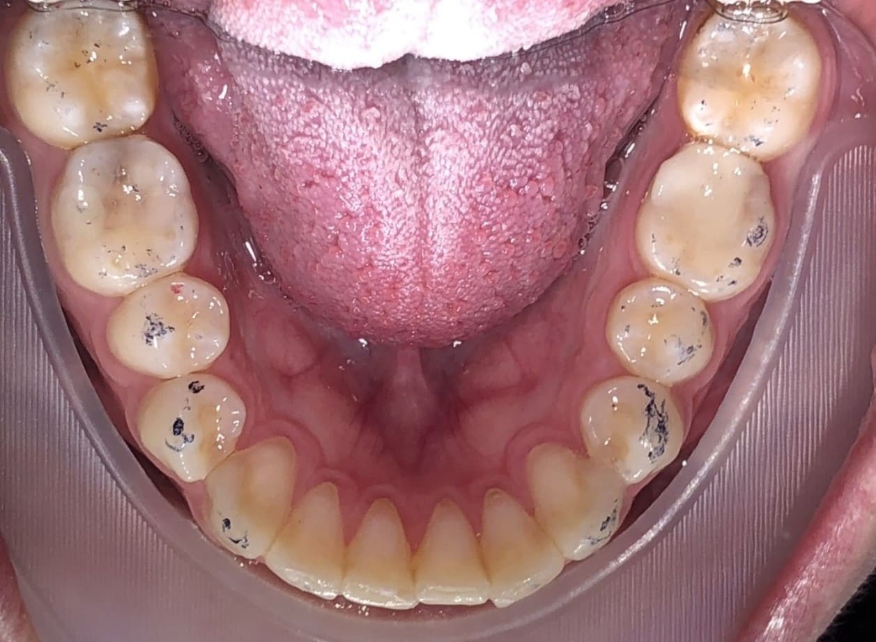
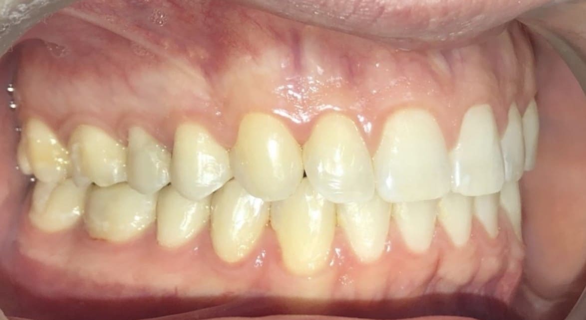
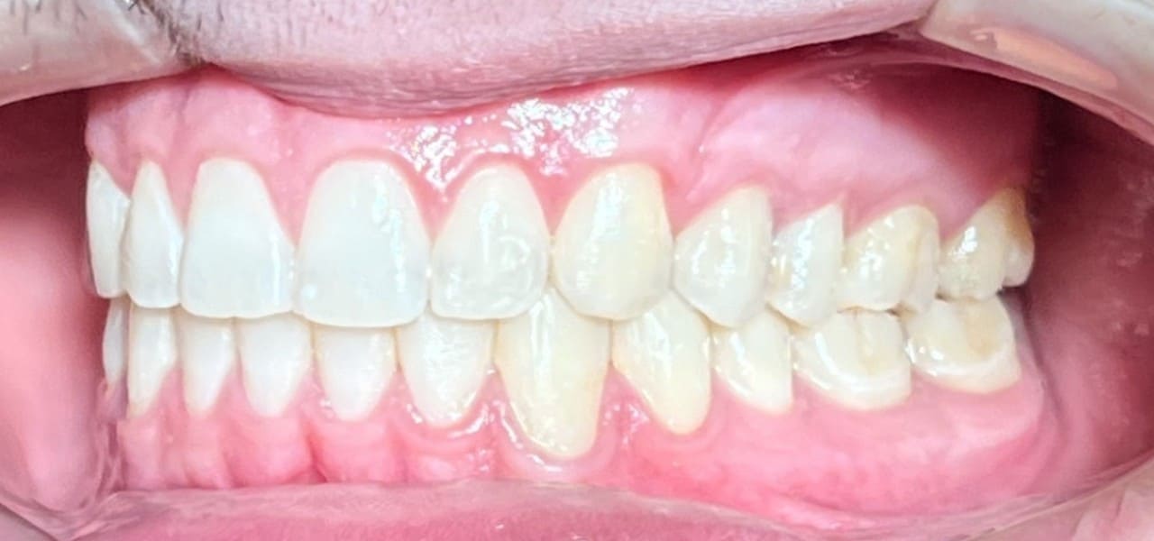
Images


Initial
Final


Initial
Final


Initial
Final


Initial
Final


Initial
Final
ClinCheck
Anterior
Right left
Upper Lower
Summary
Results achieved
- Class I relationship maintained
- Functional canine guidance on both sides
- Deepbite improved
- Overjet improved
- Significant improvement of overbite
- Midlines coincident
- Proper axial inclination of incisors
- Curve of Spee leveled
- Arches aligned and coordinated
- Arch form improved
- Aesthetic smile line was achieved
- All treatment goals were achieved case



