Invisalign Lite Conditions – Diastema – Midline shift
Invisalign Lite
- Invisalign Submission Option: Invisalign Lite
- Difficulty Level: Intermediate
- Gender: Male
Clinical Indications
- Diastema
- Midline shift
Modalities
- Expansion
- Intrusion
- Retraction
Treatment Information
- Retainer: Other clear
- Smartforce: Optimized deep bite attachments for anchorage (G5)
- Submission Process: PVS impressions
- Length of Treatment: months
- Aligner Wear Time: 2 weeks
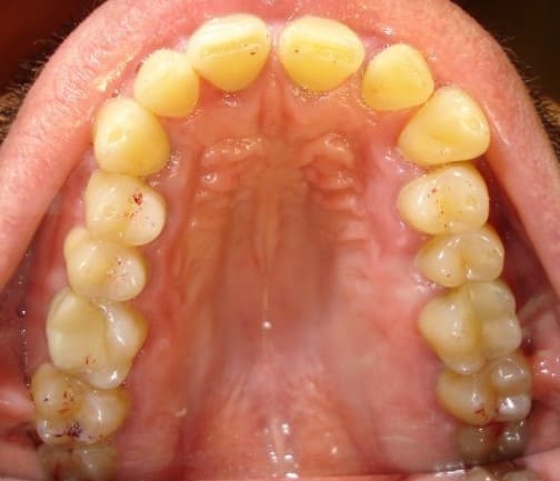
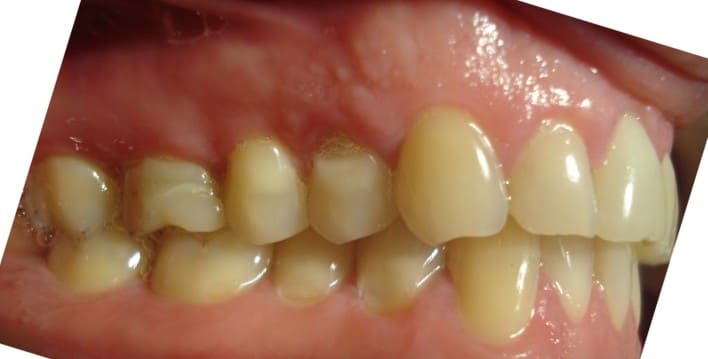
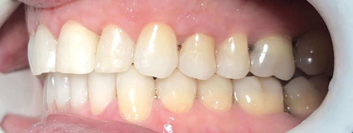
Images


Initial
Final


Initial
Final


Initial
Final


Initial
Final


Initial
Final
Summary
Results achieved
- Functional canine guidance on both sides
- Deepbite improved
- Midlines coincident
- Curve of Spee leveled
- Arches aligned and coordinated
- Arch form improved
- Aesthetic smile line was achieved
- All treatment goals were achieved case
- Harmonic arches were achieved



