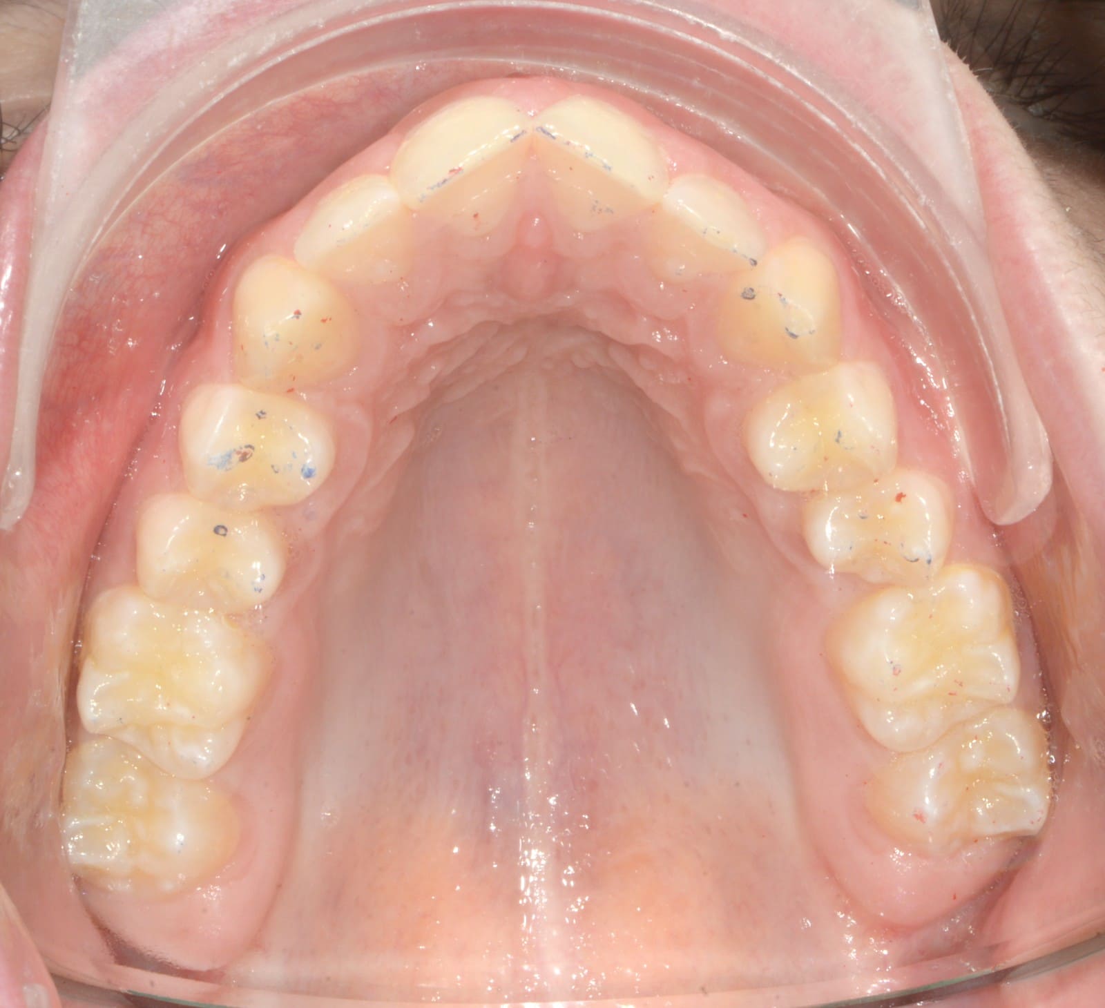
Invisalign Teen Conditions – Class II div 1 – Deep bite – Increased overjet – Narrow arches
Invisalign Teen
- Invisalign Submission Option: Invisalign Teen
- Difficulty Level: Intermediate
- Gender: Male
Clinical Indications
- Class II div 1
- Deep bite
- Increased overjet
- Narrow arches
Modalities
- Elastics: Class II
- Expansion
- Intrusion
- Leveling Curve of Spee
- Retraction
Treatment Information
- Retainer: Fixed/Bonded
- Smartforce: Optimized deep bite attachments for premolar extrusion
- Submission Process: Intra-oral scan
- Length of Treatment: 10 months
- Aligner Wear Time: 10 days
Images


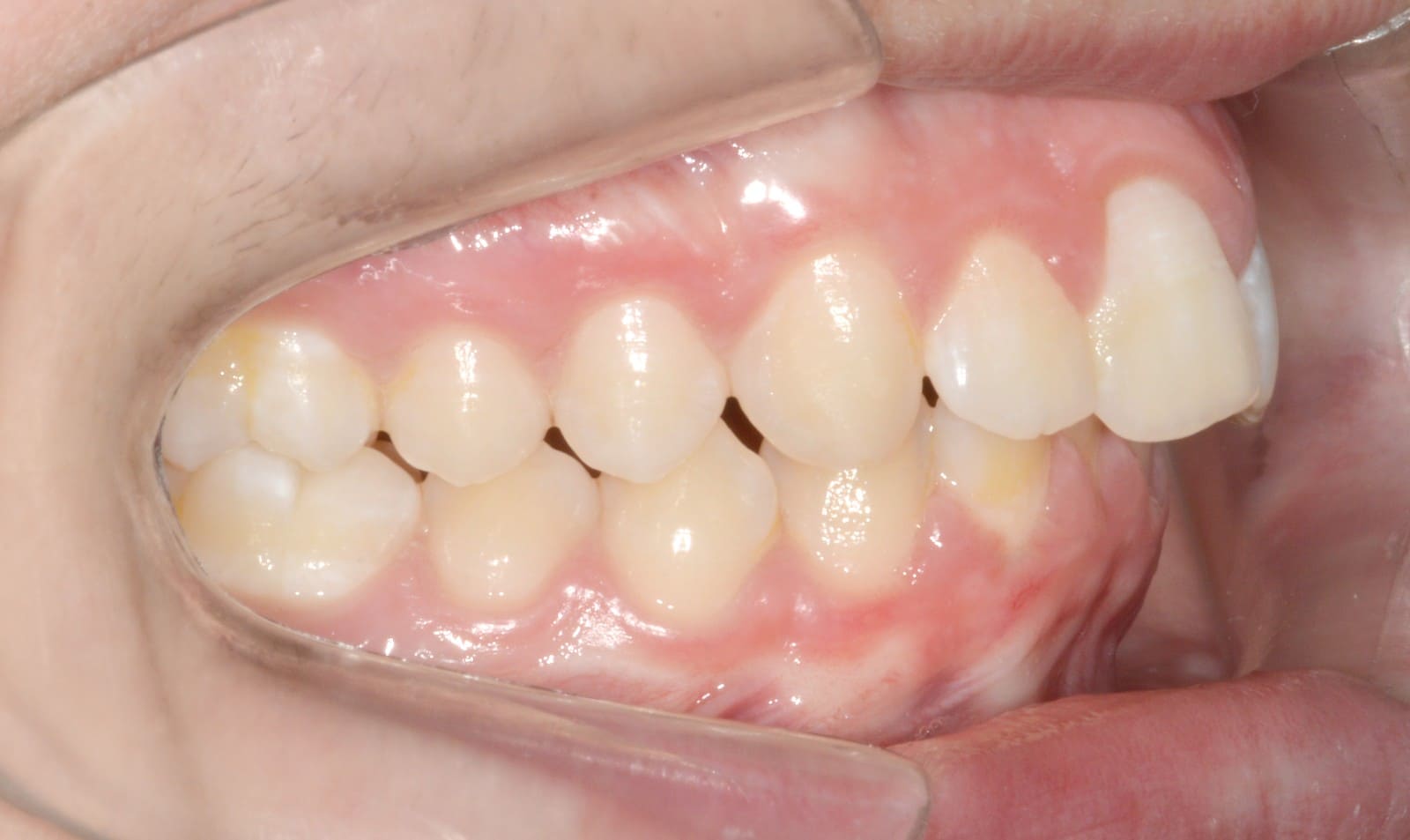
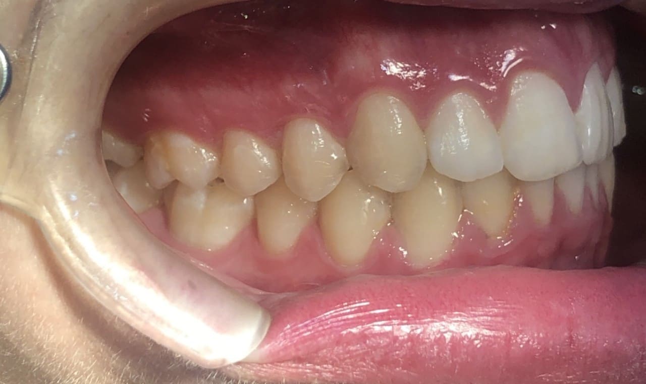
Initial
Final


Initial
Final


Initial
Final


Initial
Final


Initial
Final
Summary
Results achieved
- Class I relationship achieved
- Functional canine guidance on both sides
- Normal overjet and overbite achieved
- Significant improvement of overbite
- Significant improvement of overjet
- Proper axial inclination of incisors
- Curve of Spee leveled
- Arches aligned and coordinated
- Arch form improved
- Aesthetic smile line was achieved
- All treatment goals were achieved case
- Harmonic arches were achieved



