Invisalign Full Conditions – Mandibular midline deviation – Open bite – Pre-restorative – Rotations
Invisalign Full
- Invisalign Submission Option: Invisalign Full
- Difficulty Level: Intermediate
- Gender: Female
Clinical Indications
- Mandibular midline deviation
- Open bite
- Pre-restorative
- Rotations
Modalities
- Distalization
- Expansion
- Intrusion
- IPR
- Leveling Curve of Spee
- Restorative
- Retraction
Treatment Information
- Smartforce: Optimized extrusion attachment (G3)
- Submission Process: Intra-oral scan
- Length of Treatment: 7 months
- Aligner Wear Time: 10 days
Images


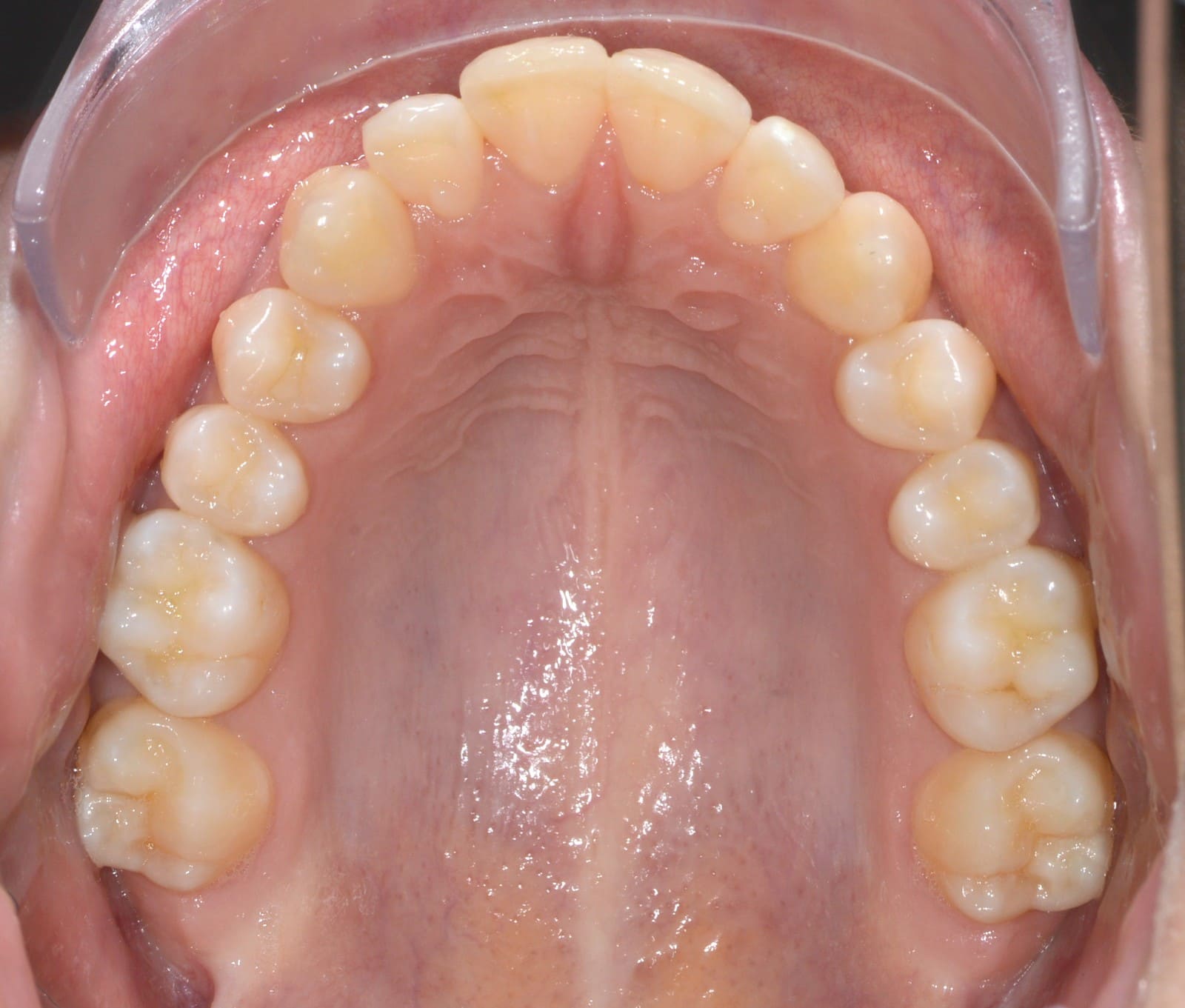
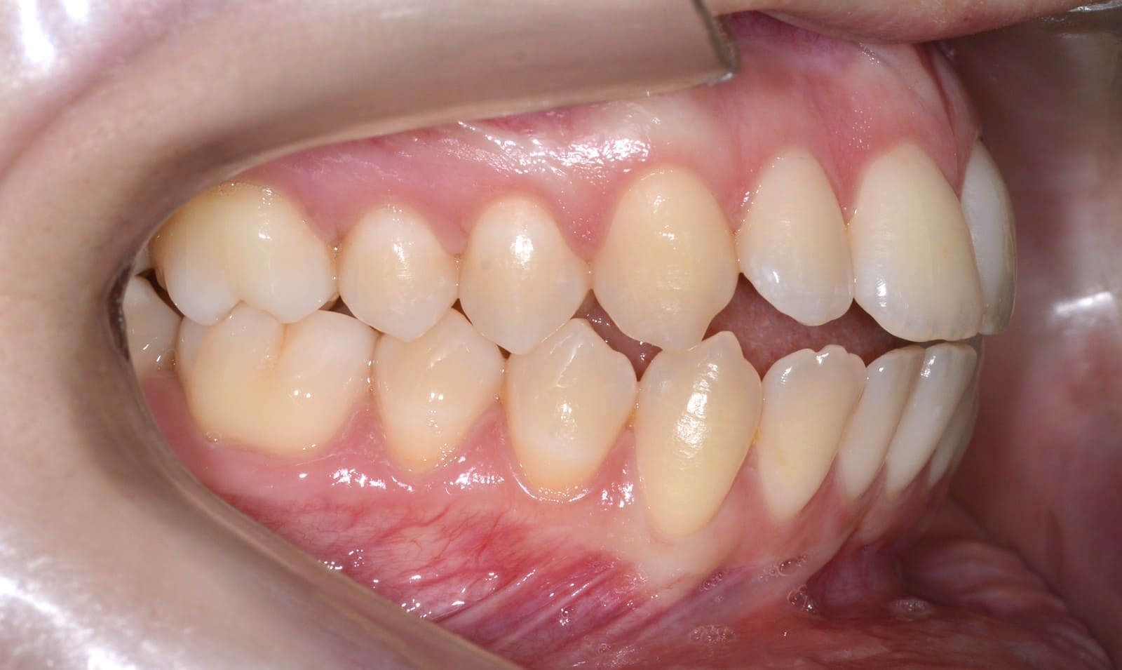
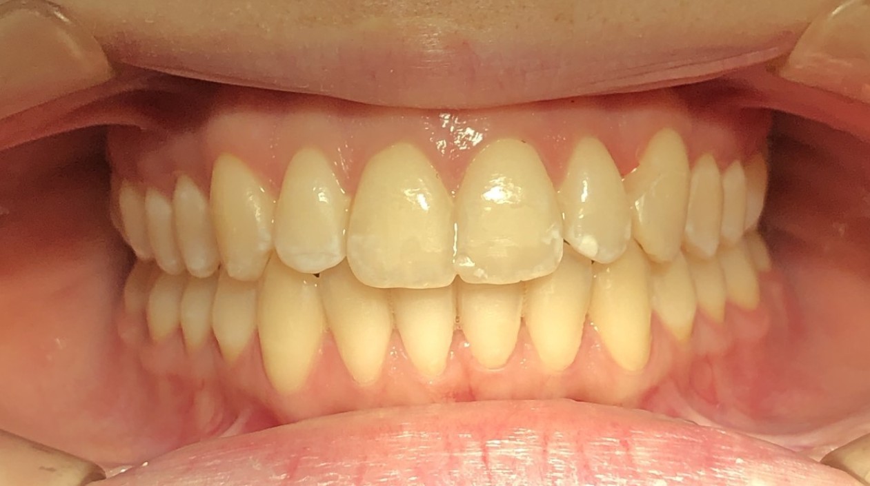
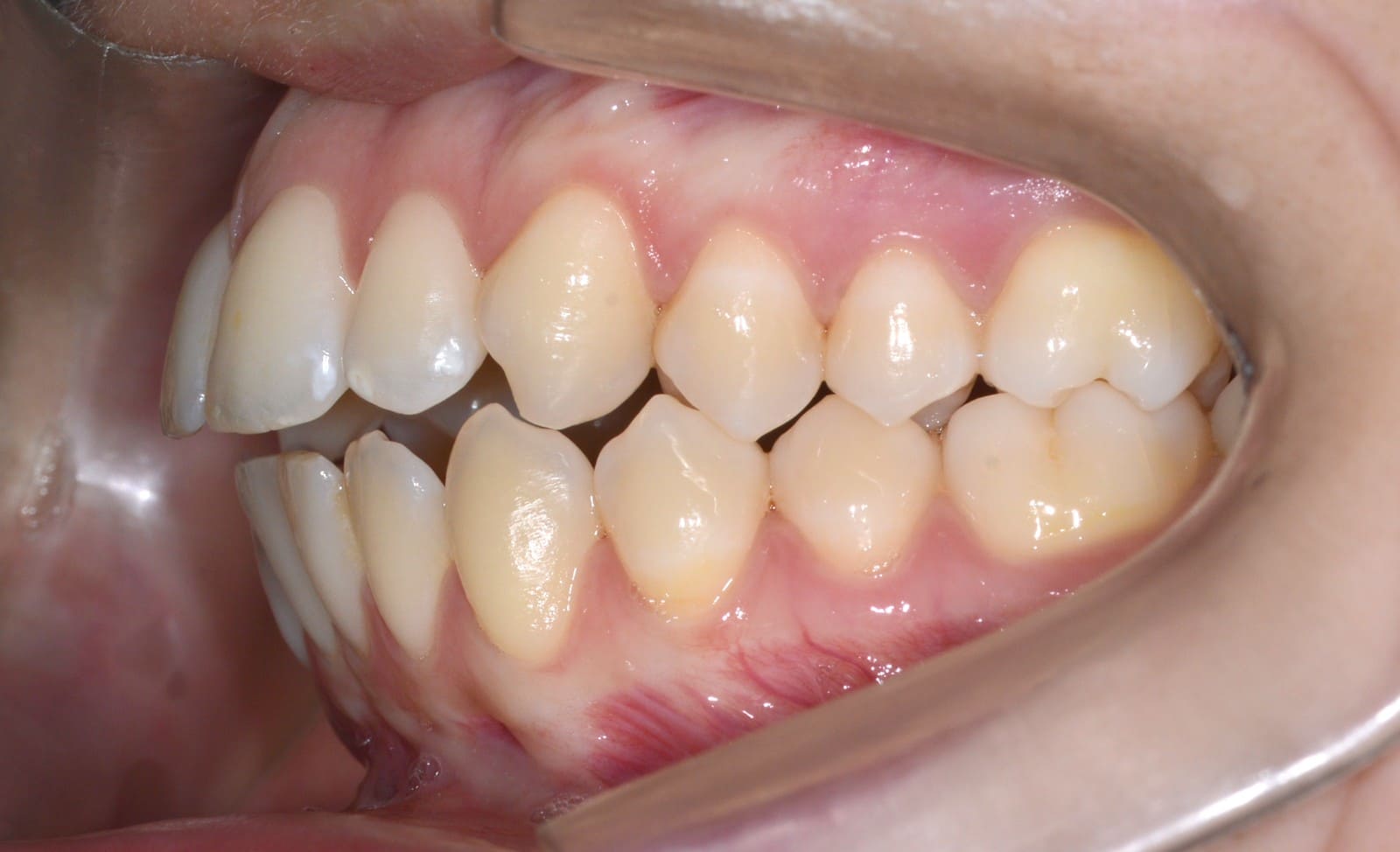
Initial
Final


Initial
Final


Initial
Final


Initial
Final


Initial
Final
ClinCheck
Anterior
Right left
Upper Lower
Summary
Results achieved
- Class I relationship achieved
- Functional canine guidance on both sides
- Normal overjet and overbite achieved
- Significant improvement of overbite
- Significant improvement of overjet
- Midlines coincident
- Proper axial inclination of incisors
- Curve of Spee leveled
- Arches aligned and coordinated
- Alignment of both arches through derotation
- Arch form improved
- Aesthetic smile line was achieved
- All treatment goals were achieved case
- Harmonic arches were achieved



