Invisalign Teen Conditions – Class II div 1 – Crowding – Impacted canines – Maxillary midline deviation – Narrow arches – Rotations
Invisalign Teen
- Invisalign Submission Option: Invisalign Teen
- Difficulty Level: Intermediate
- Gender: Female
Clinical Indications
- Class II div 1
- Crowding
- Impacted canines
- Maxillary midline deviation
- Narrow arches
- Rotations
Modalities
- Distalization
- Expansion
- IPR
Treatment Information
- Smartforce: Optimized extrusion attachment (G3)
- Submission Process: Intra-oral scan
- Length of Treatment: 15 months
- Aligner Wear Time: 1 week
Images


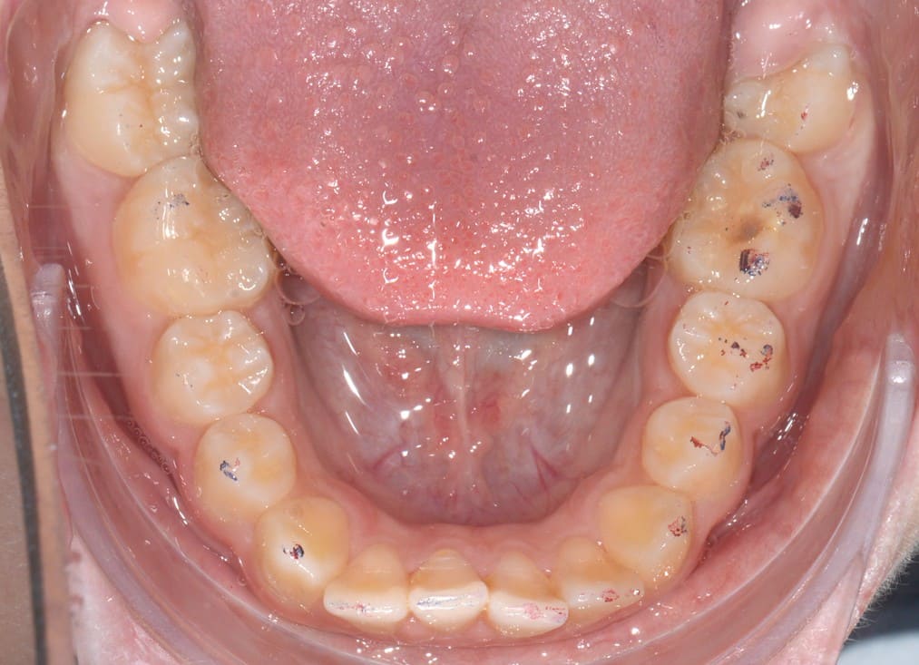
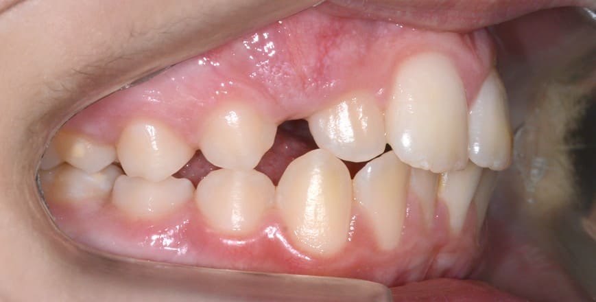
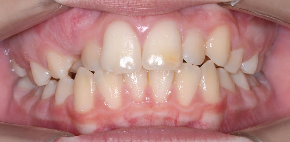
Initial
Final


Initial
Final


Initial
Final


Initial
Final


Initial
Final
ClinCheck
Anterior
Right left
Upper Lower
Summary
Results achieved
- Class I relationship achieved
- Functional canine guidance on both sides
- Normal overjet and overbite achieved
- Midlines coincident
- Proper axial inclination of incisors
- Curve of Spee leveled
- Arches aligned and coordinated
- Arch form improved
- All treatment goals were achieved case
- Harmonic arches were achieved



