Invisalign Comprehensive Conditions – Class II div 1 – Deep bite – Impacted canines – Mandibular midline deviation
Invisalign Comprehensive
- Invisalign Submission Option: Invisalign Comprehensive
- Difficulty Level: Intermediate
- Gender: Female
- Year: 2013
Clinical Indications
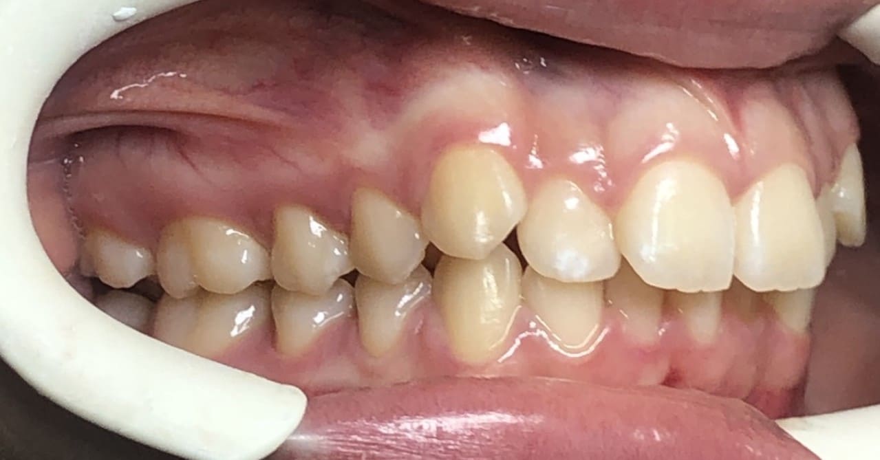
- Class II div 1
- Deep bite
- Impacted canines
- Mandibular midline deviation
Modalities
- Distalization
- Elastics: Class II
- Expansion
- Extrusion
- Intrusion
- Leveling Curve of Spee
- Mesialization
- Retraction
Treatment Information
- Retainer: Vivera retainer
Smartforce: Optimized expansion support attachment (Phase1) - Submission Process: Intra-oral scan
- Length of Treatment: 12 months
- Aligner Wear Time: 1 week
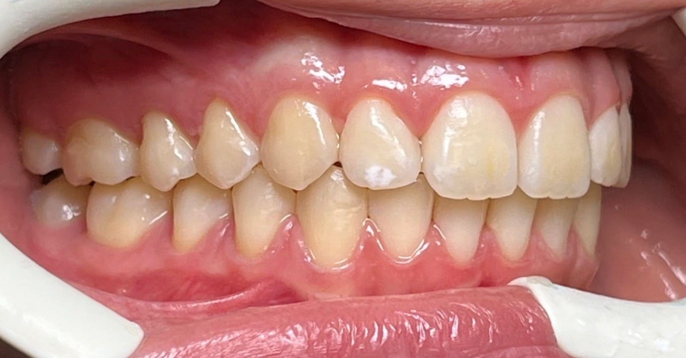
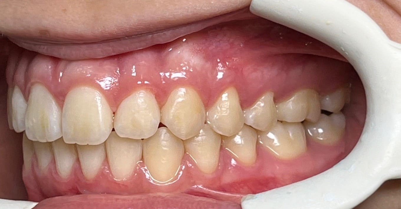
Images


Initial
Final


Initial
Final


Initial
Final


Initial
Final


Initial
Final
ClinCheck
Anterior
Right left
Upper Lower
Summary
Results achieved
- Class I relationship achieved
- Functional canine guidance on both sides
- Normal overjet and overbite achieved
- Deepbite improved
- Overjet improved
- Midlines coincident
- Curve of Spee leveled
- Arches aligned and coordinated
- Aesthetic smile line was achieved
- All treatment goals were achieved case



